استعرض سعادة السيد علي بن أحمد الكواري وزير المالية خلال مؤتمر صحفي، اليوم الأربعاء، أبرز ملامح الموازنة العامة للدولة لعام 2026، وقيمة المصروفات...
رئيس مجلس الإدارة : د. خالد بن ثاني آل ثاني

رئيس التحرير: جابر سالم الحرمي

مساحة إعلانية
مساحة إعلانية
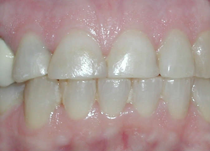
تمكن أطباء أسنان في مدينة مومباي الهندية من اقتلاع 232 سنا، من فم أحد الشباب، الذي يبلغ من العمر (17) عاما، وذلك من خلال عملية جراحية استغرقت 6 ساعات.
وكان الشاب عاشق غاوائي، قد راجع الطبيبة سوناندا دهيفارا، في مشفى "سير جامستجي جيجيبهوي" في مومباي، بعد آلام حادة في الطرف الأيمن من الفك السفلي، حيث لوحظ انتفاخ غير طبيعي في تلك المنطقة، فتقرر إخضاع الشاب لعملية جراحية بعد إجراء الفحوصات والتحاليل، التي أظهرت وجود أسنان على شكل كريات صغيرة أسفل الأرحاء (الأضراس الطواحن).
واعتبر الأطباء، الذين شاركوا في العملية، أنها الجراحة الأولى من نوعها في تاريخ طب الأسنان، وكشفوا عن عزمهم التقدم بطلب لتسجيلها في كتاب "جينيس"، للأرقام القياسية.
وتندرج حالة الشاب الهندي ضمن الإصابة بالأورام السنية المعقدة، التي تتمثل في وجود عشوائي لبنى سنية تكلسية، أو أسنان صغيرة في الفم، وتسبب هذه الأورام غالبا صعوبات شديدة في المضغ والبلع.
ابيكس هيلث تحصد خمس جوائز ضمن شهادة المبادرة الذهبية للتميز في تجربة المريض من اتحاد المستشفيات العربية
الأسرع نموًا في منطقة الشرق الأوسط وشمال أفريقيا؛ ابيكس هيلث تتميز بحصولها على خمس جوائز مختلفة في تجربة... اقرأ المزيد
224
| 22 سبتمبر 2025
فيديو.. حلاق مصري بهولندا يقص شعر أفضل لاعب بالدوري الإنجليزي "مجانا".. والسبب "مرموش"
أثار حلاق شعر مصري يقيم في هولندا إعجاب رواد مواقع التواصل الاجتماعي بعد تصفيف شعر فيل فودين لاعب... اقرأ المزيد
658
| 19 سبتمبر 2025
دواء جديد يعيد الأمل لمرضى أحد أكثر أنواع السرطان عدوانية
توصل علماء صينيون منمستشفى السرطان التابع لجامعة شاندونغ الطبية الأولى، إلى عقار جديد يحمل اسم /SHR-4849/ لعلاج سرطان... اقرأ المزيد
754
| 08 سبتمبر 2025
مساحة إعلانية
مساحة إعلانية
استعرض سعادة السيد علي بن أحمد الكواري وزير المالية خلال مؤتمر صحفي، اليوم الأربعاء، أبرز ملامح الموازنة العامة للدولة لعام 2026، وقيمة المصروفات...
24808
| 10 ديسمبر 2025
أعلنت وسائل إعلام سعودية عن وفاة عبدالله آل عاطف مشهور سناب شات باسم أبو مرداع، فيما أُصيب صديقاه أبو حصة ودخيل، إثر تعرضهم...
11324
| 12 ديسمبر 2025
أعلنت وزارة الداخلية عن إطلاق مشروع استبدال لوحات المركبات بلوحات أرقام جديدة تحمل تصميماً مطوراً يتماشى مع أفضل المعايير الدولية ويدعم التقنيات الحديثة...
10952
| 12 ديسمبر 2025
بعث حضرة صاحب السمو الشيخ تميم بن حمد آل ثاني أمير البلاد المفدى، برقية تعزية إلى أخيه جلالة الملك محمد السادس ملك المملكة...
6228
| 11 ديسمبر 2025
مساحة إعلانية
مساحة إعلانية
أكدت مجلة « GLOBAL FINANCE» أن القطاع المالي في البلاد سيأتي على رأس أكثر المجالات استفادة من التوسع القطري في إنتاج الغاز الطبيعي...
36
| 13 ديسمبر 2025
حققت بورصة قطر أداءً إيجابياً خلال تعاملات الأسبوع، وارتفعت القيمة السوقية الإجمالية لتضيف نحو 12.05 مليار ريال قطري إلى رصيدها، وارتفع المؤشر العام...
34
| 13 ديسمبر 2025
أظهرت تقديرات حديثة أن الاقتصاد السعودي سينمو بنسبة 4.5% في 2025، مع المحافظة على الأداء ذاته العام المقبل، بحسب استطلاع أجرته «بلومبرغ» شمل...
36
| 13 ديسمبر 2025
أكدت وزارة الاتصالات وتكنولوجيا المعلومات في منشور على حسابها في منصة إكس أن أعمال القمة العالمية للذكاء الاصطناعي – قطر 2025 شكلت محطة...
30
| 13 ديسمبر 2025
مساحة إعلانية
تابع الأخبار المحلية والعالمية من خلال تطبيقات الجوال المتاحة على متجر جوجل ومتجر آبل




- جامعة الدوحة توسع خدماتها إقليمياً ودولياً - خطة عشرية لزيادة الطاقة الاستيعابية - التركيز على التكنولوجيا الحديثة والابتكار والذكاء الاصطناعي أكد الدكتور...
5828
| 11 ديسمبر 2025
نظّمت وزارة الداخلية، مساء اليوم الجمعة، مؤتمراً صحفياً للإعلان عن إطلاق مشروع استبدال لوحات أرقام المركبات الحالية بلوحات جديدة تحمل تصميمًا مطوّرًا يتماشى...
2300
| 12 ديسمبر 2025
نشرت وزارة الداخلية عبر حسابها بمنصة إكس، اليوم الجمعة، مقطع فيديو بشأنالجيل الجديد من أرقام لوحات المركبات. وجاء الفيديو تحت عنوان وزارة الداخلية...
2290
| 12 ديسمبر 2025