نوهت وزارة الداخلية بالإغلاق المروري المؤقت على طريق الكورنيش، من تقاطع الديوان إلى المسرح الوطني، منبهة قائدي المركبات إلى استخدام الطرق البديلة. وقالت...
رئيس مجلس الإدارة : د. خالد بن ثاني آل ثاني
رئيس التحرير: جابر سالم الحرمي
مساحة إعلانية
مساحة إعلانية
شارك كارلوس أكابو مدافع نادي قادش صورة لقدمه التي تعرضت للإصابة بعد تدخل من مهاجم ريال مدريد إيدين هازارد خلال المباراة التي جمعت بين الفريقين أمس الأحد.
وتعادل النادي الملكي مع مضيفه قادش 1-1 في مباراة أمس، وقبل نحو ربع ساعة من نهايتها خرج المدافع أكابو متأثر بإصابته بعد تدخل قوي من المهاجم البلجيكي.
ونشر أكابو عبر حسابه الشخصي في موقع تويتر صورة تظهر تعرض قدمه لإصابة قوية، وأرفقها بتعليق يتضمن رمزَيْ البطاقة الصفراء ووجه تعبيري مستنكر، في إشارة منه إلى استغرابه من حصول هازارد على البطاقة الصفراء فقط إثر تدخله العنيف.
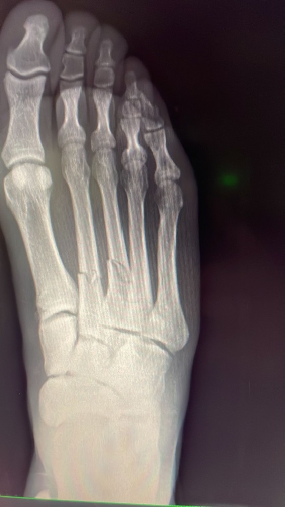
وشارك أكابو صورة أخرى تظهر صورة أشعة لقدمه، مشيرا إلى تعرض عظم إصبعين للكسر، وقال إنه سيعمل من أجل التعافي من إصابته سريعا.
ويقول الجمهور إنه يبدو بعد غياب هازارد عن التشكيل الأساسي للريال لفترة طويلة أنه قد عاد بفيلم رعب .
حقق عنابي البليارد والسنوكر ميداليتين بالبطولة العربية للبليارد والسنوكر المقامة حاليا في مصر وتستمر منافساتها حتى يوم 22... اقرأ المزيد
2
| 20 أكتوبر 2025
خسر منتخبنا الوطني للشباب للكرة الطائرة أمام نظيره الصيني 1 / 3 في أولى مبارياته بدورة الألعاب الآسيوية... اقرأ المزيد
4
| 20 أكتوبر 2025
تتواصل التحضيرات داخل الاتحاد القطري للتايكواندو والجودو والكاراتيه، استعدادا لاستضافة بطولة قطر الدولية المفتوحه للتايكوندو والتي ستقام بصالة... اقرأ المزيد
0
| 20 أكتوبر 2025
مساحة إعلانية
مساحة إعلانية
نوهت وزارة الداخلية بالإغلاق المروري المؤقت على طريق الكورنيش، من تقاطع الديوان إلى المسرح الوطني، منبهة قائدي المركبات إلى استخدام الطرق البديلة. وقالت...
11776
| 17 أكتوبر 2025
شهدت بلدة الكرك الواقعة شرقلبنانحادثة كادت تتحول إلى كارثة، حين أقدم عامل مصري على إشعال النار داخل محطة وقود يعمل بها، مدفوعًا برفض...
9536
| 17 أكتوبر 2025
جددت الخطوط الجوية القطرية تأكيدها على أن سلامة المسافرين على متنها تتصدر دائماً قائمة أولوياتها، منبهة إلى مخاطر السفر بالشواحن المتنقلة والسجائر الإلكترونية....
4578
| 17 أكتوبر 2025
أشادت سعادة السيدة لولوة بنت راشد بن محمد الخاطر، وزيرة التربية والتعليم والتعليم العالي بتصريحات قائد منتخبنا الوطني الكابتن حسن الهيدوس بصعود منتخبنا...
3890
| 17 أكتوبر 2025
مساحة إعلانية
مساحة إعلانية
أعلن نادي برشلونة الإسباني خلال الجمعية العمومية العادية عن إطلاق مشروعه التجاري العالمي الجديد تحت اسم CAN BARÇA، في خطوة وُصفت بأنها محطة...
204
| 19 أكتوبر 2025
حازت مجموعة/أريدُ/ (شركة مساهمة عامة قطرية) على جائزة /شركة العام 2025 في منطقة الشرق الأوسط وشمال إفريقيا/ من /فروست أند سوليفان- Frost &...
80
| 19 أكتوبر 2025
ارتفعت الأرباح الصافية لشركة أعمال القابضة (شركة مساهمة عامة قطرية) بنسبة 8.2 بالمئة في الأشهر التسعة الأولى من العام الحالي 2025، لتبلغ 327.265...
82
| 19 أكتوبر 2025
أطلق بنك قطر للتنمية /برنامج الثقافة المالية/، الذي يهدف إلى دعم الأفراد ورواد الأعمال والشركات القطرية، عبر تزويدهم بالمعرفة والمهارات المالية اللازمة، التي...
80
| 19 أكتوبر 2025
مساحة إعلانية
تابع الأخبار المحلية والعالمية من خلال تطبيقات الجوال المتاحة على متجر جوجل ومتجر آبل
أعلنت اللجنة المنظمة لاحتفالات اليوم الوطني بالدولة عن فتح باب التسجيل للمشاركة في فعالية «الميز» وفعالية «السوق» ضمن فعاليات درب الساعي. وسيتم إغلاق...
2790
| 17 أكتوبر 2025
هنأ معالي الشيخ حمدان بن مبارك آل نهيان رئيس اتحاد الإمارات لكرة القدم الاتحادين السعودي والقطري لكرة القدم بمناسبة تأهل منتخبيهما إلى نهائيات...
2676
| 17 أكتوبر 2025
بمناسبة انتهاء مهام سعادة السفير طارق علي فرج الأنصاري، سفير دولة قطر لدى مصر ومندوبها الدائم لدى جامعة الدول العربية، تم تكريم سعادته...
2304
| 17 أكتوبر 2025