أصدرت وزارة التجارة والصناعة في يناير العام الماضي تعميم رقم (1) لسنة 2025، والذي يسمح للأفراد باستيراد سياراتهم مباشرة وإلزام الوكلاء بضمانها. ويتعين...
رئيس مجلس الإدارة : د. خالد بن ثاني آل ثاني

رئيس التحرير: جابر سالم الحرمي

مساحة إعلانية
مساحة إعلانية
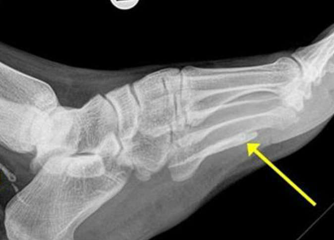
عثر أطباء على دودة طولها متر تقريباً مستقرة في قدم سوداني مهاجر مقيم في أستراليا، ظلت تتغذى على لحمه لأكثر من 4 سنوات.
وشعر الرجل السوداني "38 عاماً" الذي توجه إلى ملبورن للاستقرار هناك، بتورم قدمه وكاحله بعد آلام استمرت معه لعام تقريباً، فزار الطبيب، ليظهر للأخير في الأشعة السينية التي أجراها المريض وجود دودة طولها متر، حسبما ذكرت صحيفة دايلي ميل البريطانية.
وقام الأطباء بتحليل الدودة، فتبين أنها كانت مستقرة في منطقتي الكاحل والقدم على شكل قطعتين لولبيتين لأكثر من 4 سنوات، مشيرين إلى أنها ماتت بعدما تغذت على لحم القدم وبدأت في التحلل داخل جسم الرجل، محدثة له تورماً وقروحاً.
وأوضح الطبيب المعالج د. داربي أن الدودة التي عُثر عليها هي "دودة غينيا" وهي دودة خيطية طويلة رفيعة تعيش تحت الجلد وتسبب قروحاً مؤلمة.
يُشار إلى أن هذا النوع من الديدان موجود في جنوب السودان وإثيوبيا وغانا وتشاد، لكنها في الوقت ذاته ليست معدية، إذ لا تنتقل إلى شخص آخر.
التجارة السعودية: ضبط متجر ضلل المستهلكين بهواتف آيفون
ضبطت وزارة التجارة السعودية متجرًا إلكترونيًا لبيع العطور والعود ضلّل المستهلكين بإعلان إلكتروني يحمل ادعاءات كاذبة ومضللة، في... اقرأ المزيد
296
| 15 مايو 2026
الأمم المتحدة: امرأة تموت كل دقيقتين لهذا السبب
تحت عنوان اليوم الذي تلد فيه المرأة هو اليوم الذي من المرجح أن تموت فيه أصدر صندوق الأمم... اقرأ المزيد
428
| 13 مايو 2026
"سبيس إكس" تستعد لإطلاق مهمة لنقل إمدادات إلى محطة الفضاء الدولية
سبيس إكس/ تستعد لإطلاق مهمة لنقل إمدادات إلى محطة الفضاء الدولية أعلنت شركة /سبيس إكس/ الأمريكية عن استعدادها... اقرأ المزيد
118
| 12 مايو 2026
مساحة إعلانية
مساحة إعلانية
أصدرت وزارة التجارة والصناعة في يناير العام الماضي تعميم رقم (1) لسنة 2025، والذي يسمح للأفراد باستيراد سياراتهم مباشرة وإلزام الوكلاء بضمانها. ويتعين...
26678
| 30 مايو 2026
أعلنت وزارة الداخلية انتهاء العمل بقرار تمديد جميع أنواع سمات الدخول المنتهية أو التي شارفت على الانتهاء، اعتبارًا من يوم الأحد الموافق 7...
11260
| 28 مايو 2026
أكد مطار حمد الدولي جاهزيته لضمان تجربة وصول سلسة للمسافرين مع اقتراب نهاية إجازة عيد الأضحى وموسم الحج، وعودة المواطنين والمقيمين إلى دولة...
7318
| 28 مايو 2026
نصحت وزارة الداخليةركاب المترو بالتقيد بإرشادات السلامة داخل المحطات، مؤكدة أن ذلكيعكس الوعي ويضمن لهم رحلة آمنة ومريحة، منبهة إلى أهميةطلب المساعدة فوراًفي...
3592
| 28 مايو 2026
مساحة إعلانية
مساحة إعلانية
أعلنت وزارة التجارة التركية، رفع عدد الدول المستهدفة في استراتيجية التصدير الإلكتروني من 18 إلى 35 دولة، شملت مؤخرا فرنسا وألمانيا ورومانيا. أفاد...
62
| 31 مايو 2026
سيتم تطبيق التغييرات على مؤشر البورصة لجميع الاسهم التي اعلن عنها سابقاً اعتبارًا من نهاية اليوم الاحد، بحيث تصبح سارية المفعول غداً الاثنين...
72
| 31 مايو 2026
انخفض عجز صافي الأصول الأجنبية للبنوك بنسبة 12.45% على أساس سنوي في ختام شهر أبريل 2026؛ بما يعادل 59.20 مليار ريال، وفق مسح...
82
| 31 مايو 2026
ارتفعت أسعار الذهب بأكثر من اثنين بالمئة، وسط أنباء عن إحراز تقدم في المفاوضات الرامية إلى إنهاء التوتر في الشرق الأوسط. وزاد سعر...
120
| 31 مايو 2026
مساحة إعلانية
تابع الأخبار المحلية والعالمية من خلال تطبيقات الجوال المتاحة على متجر جوجل ومتجر آبل




أصدرت وزارة التجارة والصناعة في يناير العام الماضي تعميم رقم (1) لسنة 2025، والذي يسمح للأفراد باستيراد سياراتهم مباشرة وإلزام الوكلاء بضمانها. ويتعين...
26678
| 30 مايو 2026
أعلنت وزارة الداخلية انتهاء العمل بقرار تمديد جميع أنواع سمات الدخول المنتهية أو التي شارفت على الانتهاء، اعتبارًا من يوم الأحد الموافق 7...
11260
| 28 مايو 2026
أكد مطار حمد الدولي جاهزيته لضمان تجربة وصول سلسة للمسافرين مع اقتراب نهاية إجازة عيد الأضحى وموسم الحج، وعودة المواطنين والمقيمين إلى دولة...
7318
| 28 مايو 2026